電話する

地図

問い合わせ

メニュー
ヘッダーオファー

症例紹介

かわもと歯科・こども歯科クリニックの症例紹介です。

矯正治療

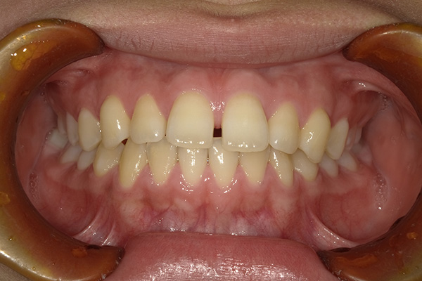
開口(30代女性)

  • 主訴:前歯で物が噛みきれない(開口)
 
詳細はこちら
 

開口(30代女性)

  • 主訴:前歯で物が噛みきれない(開口)
 
詳細はこちら
 

叢生(50代女性)

  • 主訴:歯並びのガタガタが気になる(叢生)
 
詳細はこちら
 

叢生(20代男性)

  • 主訴:前歯が出ている、ガタガタが気になる(上顎前突、叢生)
 
詳細はこちら
 

叢生(10代男性)

  • 主訴:前歯のガタガタが気になる(叢生)
 
詳細はこちら
 

叢生(10代女性)

  • 主訴:前歯のガタガタが気になる(叢生)
 
詳細はこちら
 

歯間離開(10代女性)

  • 主訴:すきっ歯が気になる(歯間離開)
 
詳細はこちら
 

診療スケジュール

当院へのお電話からの問い合わせは0196471411へ

診療時間
9:00-12:30
14:00-17:30
最終受付16:30
/
/
/
/
/
/
休診日:水曜日・日曜日・祝日
▲…土曜日9:00~12:00/13:00~17:00 最終受付16:00
学会参加等、休診日が変更になる場合があります。
ご予約・お問い合わせはこちら
かわもと総合歯科クリニックの外観
当院から皆様へご予約に関するお願い〜コロナ感染対策について
当院から皆様へご予約に関するお願い〜コロナ感染対策について
かわもと総合歯科クリニックインスタグラム
かわもと総合歯科クリニックインスタグラム
歯科医師採用特設サイト
歯科スタッフ採用特設サイト
フッターオファー 令和6年度 ひろしま企業健康宣言 健康づくり優良事業所
© 2019 かわもと歯科・こども歯科クリニック