矯正治療
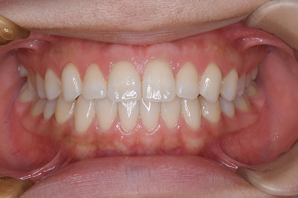
歯間離開(10代女性)
治療前
治療後
| 主訴 | すきっ歯が気になる(歯間離開) |
|---|---|
| 治療 | インビザライン |
| 治療期間 | 1年 |
| 通院回数 | 12回 |
| 費用(税込) | 総額660,000円 (検査・診断、手術関連処置費用等を含む) |
| リスク・副作用 | 歯の移動に伴う痛み、歯根吸収:歯の根が短くなる症状、歯肉退縮:歯茎が下がる症状、アンキローシス:歯と骨が癒着し歯が動かない状態のこと、歯髄壊死:歯の神経が失活した状態、顎関節症状:顎の痛み ※リスクと副作用は最下段注意文も併せてお読みになってください |








